Wednesday, October 30, 2013

What is Cosmetic Dentistry?


Cosmetic Dentistry can help you change your appearance, smile, your confidence and self-esteem. Cosmetic Dentistry has and continues to evolve to where Cosmetic Dentist can address functional and esthetic patient concerns.


The goal of Cosmetic Dentistry is to transform an average smile into a terrific smile. We all feel we know a beautiful smile when we see one, there is no perfect smile, because each person has a different perception of what is a beautiful smile.

What makes a beautiful smile?

  • Teeth that are straight not crooked.
  • The teeth that are evenly spaced with no gaps.
  • The teeth that are white not stained.
  • The top teeth show when you smile, but not the gums.
  • The gumline is smooth, not uneven
  • The edges of the top teeth follow the curve of the lower lip.
If you weren't born with a beautiful smile, you can still have one, with cosmetic Dentistry. 

What are some Cosmetic Procedures in Dentistry?

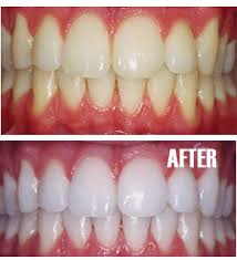
  • Teeth Whitening is done in-office in about an hour or at home with custom trays.
             
  • Tooth color fillings have replace the old silver fillings (mercury). These composite/porcelain materials more naturally mimic the look, feel, and function of natural teeth and actually bond directly to the remaining enamel and dentin. These modern filling materials are also more natural in appearance; it’s almost impossible to tell that your tooth has a filling.
           
  • All Porcelain Crowns these dental crown materials offer the most natural look in your mouth, since they can be made to look just like real teeth. For those people who are allergic to metal, or who prefer not to have any metal crowns, all porcelain or all ceramic crowns can be a good option.
             Before porcelain crowns         All Porcelain Crowns    
                          Before                                                       After
  • Veneers a thin shell of porcelain that is bonded to the tooth to improve it's color, close spaces between teeth, lengthen small or misshape teeth.
             Before Veneers    After Veneers                                                     Before                                             After
  • Dental Implants along with a crown built on the implant–replaces a missing tooth or teeth and helps to maintain the bone support of the adjacent teeth, extending their life span. Dental implants are considered a permanent service and can be expected, in most cases, to last many, many years. They are the optimum choice for replacing missing teeth. 
            single missing tooth        single implant         
                             Before                                              After
  • Orthodontics our cosmetic dentist now has many options available, from conventional braces to “invisible braces” (clear orthodontic aligners) and reduced treatment times.
              
  • Dentures rest on teeth and gums for stability, which can encourage bone loss, tooth decay, and periodontal disease. However, dentures can be relined every few years to compensate for bone loss and any compromised facial integrity. Overdentures are a combination of traditional dentures and the newer science of dental implants to prevent bone loss that could result from dentures alone. Hybrid dentures are fixed dentures a proven replacement for removable prostheses worn by edentulous patients, offering excellent predictability, esthetics, and function.
             Before Hybrid Denture Front View     implant supported hybrid denture
                          Before                                     After Hybrid Denture
  • Periodontal plastic surgery is often used to correct irregularities in the gums. This is done by adding or removing gum tissue in certain areas. The objective of periodontal plastic surgery is to give a proper framework to the dental work, much as an attractive frame and matting enhance a beautiful painting.
         

  

No comments:

Post a Comment